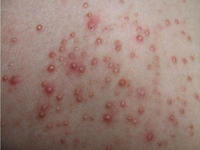
深圳疥疮常见的原因有哪些?疥疮的存在严重影响心理健康。有的患者甚至诱发大量的疥疮,在疥疮治愈数年之后,还经常怀疑自己患有疥疮,成为心理上一个挥之不去的一个阴影,严重影响工作和学习质量;那么,深圳疥疮常见的原因有哪些?深圳肤康皮肤病专科门诊部为你解除疑惑。
1.疥疮的发作,有部分患者是因为和亲戚朋友中的社交,病菌传来传去,就这样传染到了患者自身。
2.部分患者因为存在不当的性接触,在很多年轻人之中具有很高的患病概率,和不当的性接触、不洁性生活是关系重大的。

3.深圳疥疮常见的原因有哪些?免疫力较低的人比较容易感染疥疮,免疫力低的人是有可能通过接触疥疮患者的一些衣物,或者是其他用品而导致传染疥疮疾病的。
温馨提示:如果有更多问题,可以直接拨打24小时热线电话:0755-26072727.我们将全天为你竭诚服务,或者可以添加QQ:2981189361,有什么不清楚的地方都可以来向我们提出疑问。

